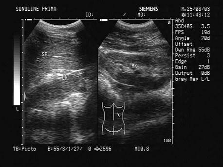
如图所示,双肾结构清晰,左肾体积小,该病例最可能诊断是?(?)A.肾发育不良B.肾萎缩C.慢性肾炎D.肾结核E.慢性肾衰

作者: rantiku 人气: - 评论: 0
问题 如图所示,双肾结构清晰,左肾体积小,该病例最可能诊断是?(?)
选项 A.肾发育不良 B.肾萎缩 C.慢性肾炎 D.肾结核 E.慢性肾衰
答案 A
解析

猜你喜欢

发表评论
更多 网友评论0 条评论)
暂无评论

访问排行

Copyright © 2012-2014 恰考网 Inc. 保留所有权利。 Powered by tikuer.com

页面耗时0.0388秒, 内存占用1.03 MB, Cache:redis,访问数据库19次