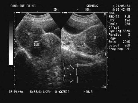
女,33岁,因月经不调就诊,超声声像图如下,最可能的诊断为?(?)A.附件炎B.子宫肌瘤C.子宫腺肌症D.子宫内膜癌E.卵巢肿瘤

作者: rantiku 人气: - 评论: 0
问题 女,33岁,因月经不调就诊,超声声像图如下,最可能的诊断为?(?)
选项 A.附件炎 B.子宫肌瘤 C.子宫腺肌症 D.子宫内膜癌 E.卵巢肿瘤
答案 B
解析

猜你喜欢

发表评论
更多 网友评论0 条评论)
暂无评论

访问排行

Copyright © 2012-2014 恰考网 Inc. 保留所有权利。 Powered by tikuer.com

页面耗时0.0652秒, 内存占用1.03 MB, Cache:redis,访问数据库19次