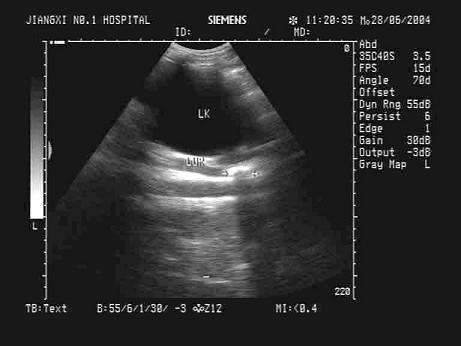
某患者左腹部疼痛,根据左肾区超声声像图,最可能的诊断为?(?)A.左肾结石并左肾积水B.左输尿管结石并左肾重度积水C.左输尿管结石D.左肾...

作者: rantiku 人气: - 评论: 0
问题 某患者左腹部疼痛,根据左肾区超声声像图,最可能的诊断为?(?)
选项 A.左肾结石并左肾积水 B.左输尿管结石并左肾重度积水 C.左输尿管结石 D.左肾结石 E.左输尿管结石并左肾轻度积水
答案 B
解析

猜你喜欢

发表评论
更多 网友评论0 条评论)
暂无评论

访问排行

Copyright © 2012-2014 恰考网 Inc. 保留所有权利。 Powered by tikuer.com

页面耗时0.0446秒, 内存占用1.03 MB, Cache:redis,访问数据库19次