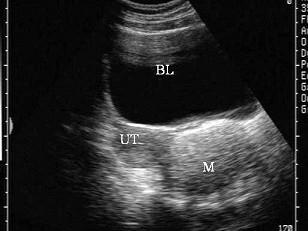
如图,女性,26岁,无明显不适,盆腔横断面,最可能的诊断是?(?)A.炎性包块B.宫外孕C.畸胎瘤D.黄体囊肿E.正常声像图

作者: rantiku 人气: - 评论: 0
问题 如图,女性,26岁,无明显不适,盆腔横断面,最可能的诊断是?(?)
选项 A.炎性包块 B.宫外孕 C.畸胎瘤 D.黄体囊肿 E.正常声像图
答案 C
解析

猜你喜欢

发表评论
更多 网友评论0 条评论)
暂无评论

访问排行

Copyright © 2012-2014 恰考网 Inc. 保留所有权利。 Powered by tikuer.com

页面耗时0.0359秒, 内存占用1.03 MB, Cache:redis,访问数据库19次