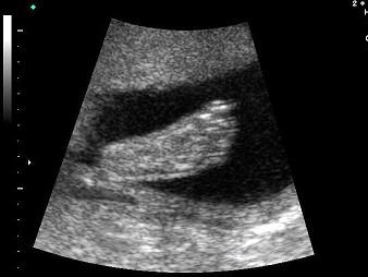
如图,超声显示的是胎儿的哪一部位?(?)A.手B.脚C.腿D.腹部E.颈部

作者: rantiku 人气: - 评论: 0
问题 如图,超声显示的是胎儿的哪一部位?(?)
选项 A.手 B.脚 C.腿 D.腹部 E.颈部
答案 B
解析

猜你喜欢

发表评论
更多 网友评论0 条评论)
暂无评论

访问排行

Copyright © 2012-2014 恰考网 Inc. 保留所有权利。 Powered by tikuer.com

页面耗时0.0613秒, 内存占用1.03 MB, Cache:redis,访问数据库20次