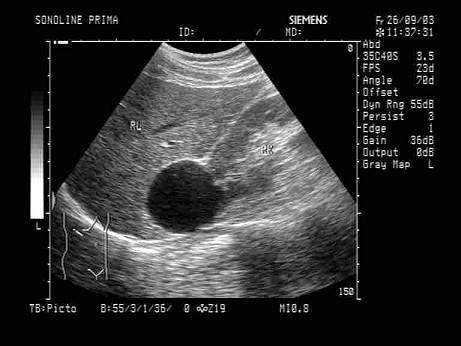
根据声像图,最可能的诊断为?(?)A.肝囊肿B.肾囊肿C.肾上腺囊肿D.嗜咯细胞瘤E.肾脓肿

作者: rantiku 人气: - 评论: 0
问题 根据声像图,最可能的诊断为?(?)
选项 A.肝囊肿 B.肾囊肿 C.肾上腺囊肿 D.嗜咯细胞瘤 E.肾脓肿
答案 B
解析

猜你喜欢

发表评论
更多 网友评论0 条评论)
暂无评论
错误啦!

错误信息

  • 消息: [程序异常] : MISCONF Redis is configured to save RDB snapshots, but it's currently unable to persist to disk. Commands that may modify the data set are disabled, because this instance is configured to report errors during writes if RDB snapshotting fails (stop-writes-on-bgsave-error option). Please check the Redis logs for details about the RDB error.
  • 文件: /twcms/kongphp/cache/cache_redis.class.php
  • 位置: 第 85 行
    <?php echo 'KongPHP, Road to Jane.'; ?>