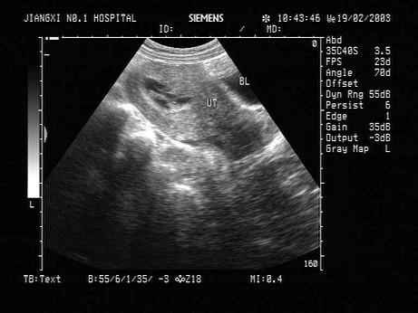
女性,27岁,药物流产术后13天,阴道仍有出血。超声检查如图,最可能的诊断为?(?)A.子宫肌瘤B.葡萄胎C.宫腔残留D.附件炎性包块...

作者: rantiku 人气: - 评论: 0
问题 女性,27岁,药物流产术后13天,阴道仍有出血。超声检查如图,最可能的诊断为?(?)
选项 A.子宫肌瘤 B.葡萄胎 C.宫腔残留 D.附件炎性包块 E.宫腔积液
答案 C
解析

猜你喜欢

发表评论
更多 网友评论0 条评论)
暂无评论

访问排行

Copyright © 2012-2014 恰考网 Inc. 保留所有权利。 Powered by tikuer.com

页面耗时0.0391秒, 内存占用1.03 MB, Cache:redis,访问数据库17次