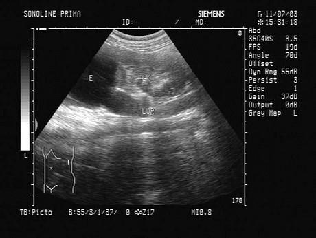
根据超声图像,该病例最可能的诊断?(?)A.肾上极囊肿B.肾脏积水C.肾脏肿瘤D.重复肾E.肾脓肿

作者: rantiku 人气: - 评论: 0
问题 根据超声图像,该病例最可能的诊断?(?)
选项 A.肾上极囊肿 B.肾脏积水 C.肾脏肿瘤 D.重复肾 E.肾脓肿
答案 D
解析

猜你喜欢

发表评论
更多 网友评论0 条评论)
暂无评论

访问排行

Copyright © 2012-2014 恰考网 Inc. 保留所有权利。 Powered by tikuer.com

页面耗时0.0381秒, 内存占用1.03 MB, Cache:redis,访问数据库19次