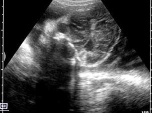
晚孕胎儿脑部声像图,最可能的诊断是?(?)A.正常声像图B.淋巴管囊肿C.脑膜膨出D.脑积水E.露脑畸形

作者: rantiku 人气: - 评论: 0
问题 晚孕胎儿脑部声像图,最可能的诊断是?(?)
选项 A.正常声像图 B.淋巴管囊肿 C.脑膜膨出 D.脑积水 E.露脑畸形
答案 E
解析

猜你喜欢

发表评论
更多 网友评论0 条评论)
暂无评论

访问排行

Copyright © 2012-2014 恰考网 Inc. 保留所有权利。 Powered by tikuer.com

页面耗时0.0332秒, 内存占用1.03 MB, Cache:redis,访问数据库17次