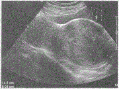
临床资料:女,42岁,自述下腹坠胀,月经量增多3年余。超声综合描述:子宫前位,宫颈部可见7.8cm×7.2cm低回声区,边界清晰,形态规则,内回声不均...

作者: rantiku 人气: - 评论: 0
问题 临床资料:女,42岁,自述下腹坠胀,月经量增多3年余。 超声综合描述:子宫前位,宫颈部可见7.8cm×7.2cm低回声区,边界清晰,形态规则,内回声不均匀,呈漩涡状,向外突起,CDFI:周边可见少许血管绕行,呈动脉血流频谱。见下图及彩图105。 {图2} {图3} 超声提示:
选项 A.子宫颈妊娠 B.子宫颈肌瘤 C.子宫颈癌 D.阔韧带肌瘤
答案 B
解析

猜你喜欢

发表评论
更多 网友评论0 条评论)
暂无评论

访问排行

Copyright © 2012-2014 恰考网 Inc. 保留所有权利。 Powered by tikuer.com

页面耗时0.0392秒, 内存占用1.02 MB, Cache:redis,访问数据库14次