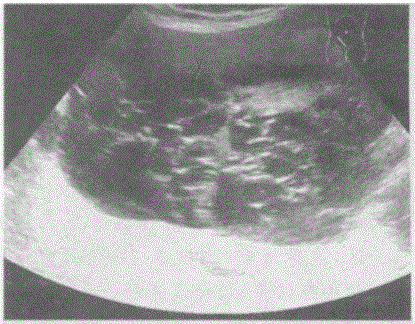
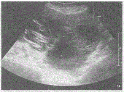
临床资料:女,69岁,自诉下腹部疼痛,排便困难。临床物理检查:右下腹可扪及一肿物,质硬,边界清,活动度好,有压痛。超声综合描述:子宫前位,形态大小...

作者: rantiku 人气: - 评论: 0
问题 临床资料:女,69岁,自诉下腹部疼痛,排便困难。 临床物理检查:右下腹可扪及一肿物,质硬,边界清,活动度好,有压痛。 超声综合描述:子宫前位,形态大小如常,肌壁回声均匀,内膜厚度0.3cm。腹、盆腔可见无回声区,上界平脐,下至耻骨联合,形态不规则,内呈网状,分隔多且厚薄不均,CDFI:分隔上可见条状血流信号,PW:呈动脉频谱,RI=0.54。
选项 A.腹盆腔多房囊性占位(卵巢癌) B.畸胎瘤 C.腹盆腔结核 D.腹盆腔包裹性积液
答案 A
解析

猜你喜欢

发表评论
更多 网友评论0 条评论)
暂无评论

访问排行

Copyright © 2012-2014 恰考网 Inc. 保留所有权利。 Powered by tikuer.com

页面耗时0.0408秒, 内存占用1.03 MB, Cache:redis,访问数据库20次