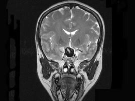
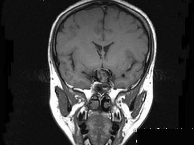
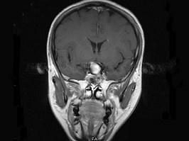
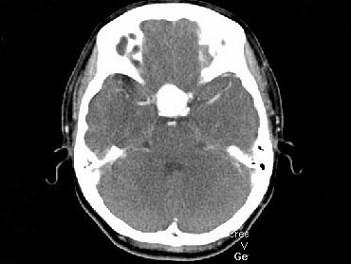
女,43岁,反复头痛10个月,CT检查如图,最可能诊断为 ( )A、脑膜瘤B、胶质瘤C、垂体瘤D、颈内动脉瘤E、颅咽管瘤

作者: rantiku 人气: - 评论: 0
问题 女,43岁,反复头痛10个月,CT检查如图,最可能诊断为 ( )
选项 A、脑膜瘤 B、胶质瘤 C、垂体瘤 D、颈内动脉瘤 E、颅咽管瘤
答案 D
解析
发表评论
更多 网友评论0 条评论)
暂无评论

访问排行

Copyright © 2012-2014 恰考网 Inc. 保留所有权利。 Powered by tikuer.com

页面耗时0.0327秒, 内存占用1.03 MB, Cache:redis,访问数据库18次