男,23岁,右耳流脓十余年,右外耳道流脓,鼓膜穿孔,CT检查如图,最可能诊断为 ( )A、嗜酸性肉芽肿B、(海绵化期)耳硬化症C、...

作者: rantiku 人气: - 评论: 0
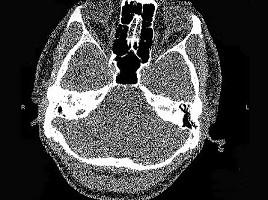
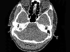
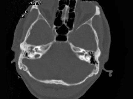
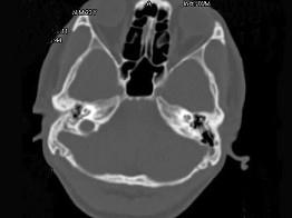
问题 男,23岁,右耳流脓十余年,右外耳道流脓,鼓膜穿孔,CT检查如图,最可能诊断为 ( )
选项 A、嗜酸性肉芽肿 B、(海绵化期)耳硬化症 C、中耳乳突结核 D、中耳癌 E、慢性中耳乳突炎
答案 E
解析

猜你喜欢

发表评论
更多 网友评论0 条评论)
暂无评论

访问排行

Copyright © 2012-2014 恰考网 Inc. 保留所有权利。 Powered by tikuer.com

页面耗时0.0643秒, 内存占用1.03 MB, Cache:redis,访问数据库19次