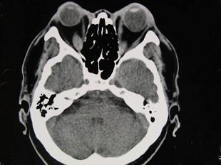
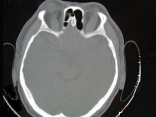
女性50岁,消瘦、多饮多食,脖子粗大,双侧眼球突出,一年余,CT检查如图所示,应考虑为 ( )A、横纹肌肉瘤B、眶部结核C、甲状腺眼病...

作者: rantiku 人气: - 评论: 0
问题 女性50岁,消瘦、多饮多食,脖子粗大,双侧眼球突出,一年余,CT检查如图所示,应考虑为 ( )
选项 A、横纹肌肉瘤 B、眶部结核 C、甲状腺眼病 D、炎性假瘤 E、眼型格氏病
答案 C
解析

猜你喜欢

发表评论
更多 网友评论0 条评论)
暂无评论

访问排行

Copyright © 2012-2014 恰考网 Inc. 保留所有权利。 Powered by tikuer.com

页面耗时0.0384秒, 内存占用1.03 MB, Cache:redis,访问数据库19次