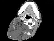
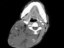
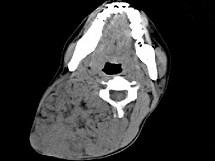
女,32岁,颈部包块8年余,包块逐渐长大,CT如图所示,最可能的诊断为 ( )A、颈部神经鞘瘤B、颈部异位甲状腺C、颈部横纹肌肉瘤...

作者: rantiku 人气: - 评论: 0
问题 女,32岁,颈部包块8年余,包块逐渐长大,CT如图所示,最可能的诊断为 ( )
选项 A、颈部神经鞘瘤 B、颈部异位甲状腺 C、颈部横纹肌肉瘤 D、颈部巨大血管瘤 E、颈部神经纤维瘤
答案 D
解析

猜你喜欢

发表评论
更多 网友评论0 条评论)
暂无评论

访问排行

Copyright © 2012-2014 恰考网 Inc. 保留所有权利。 Powered by tikuer.com

页面耗时0.0321秒, 内存占用1.03 MB, Cache:redis,访问数据库18次