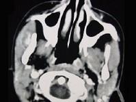
16岁女性患者,右侧面颊部肿胀,CT扫描如图所示,应考虑为 ( )A、右侧咬肌区淋巴管瘤B、右侧咬肌区慢性淋巴管炎C、右侧咬肌区脂肪瘤...

作者: rantiku 人气: - 评论: 0
问题 16岁女性患者,右侧面颊部肿胀,CT扫描如图所示,应考虑为 ( )
选项 A、右侧咬肌区淋巴管瘤 B、右侧咬肌区慢性淋巴管炎 C、右侧咬肌区脂肪瘤 D、右侧咬肌区皮样囊肿 E、右侧咬肌区血管瘤
答案 E
解析

猜你喜欢

发表评论
更多 网友评论0 条评论)
暂无评论

访问排行

Copyright © 2012-2014 恰考网 Inc. 保留所有权利。 Powered by tikuer.com

页面耗时0.0837秒, 内存占用1.03 MB, Cache:redis,访问数据库19次