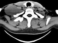
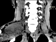
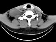
女,47岁,下颈部触及一包块约五年余,CT如图所示,最可能诊断为 ( )A、副神经节瘤B、巨淋巴结增生症C、血管瘤D、神经鞘瘤...

作者: rantiku 人气: - 评论: 0
问题 女,47岁,下颈部触及一包块约五年余,CT如图所示,最可能诊断为 ( )
选项 A、副神经节瘤 B、巨淋巴结增生症 C、血管瘤 D、神经鞘瘤 E、滑膜肉瘤
答案 D
解析

猜你喜欢

发表评论
更多 网友评论0 条评论)
暂无评论

访问排行

Copyright © 2012-2014 恰考网 Inc. 保留所有权利。 Powered by tikuer.com

页面耗时0.0712秒, 内存占用1.03 MB, Cache:redis,访问数据库17次