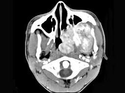
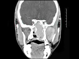
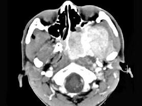
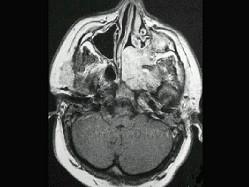
男性,19岁,左侧鼻腔反复出血一年余,CT、MRI扫描如图所示,请选择最可能诊断 ( )A、鼻咽癌B、鼻咽部淋巴瘤C、鼻咽腔脓肿 ...

作者: rantiku 人气: - 评论: 0
问题 男性,19岁,左侧鼻腔反复出血一年余,CT、MRI扫描如图所示,请选择最可能诊断 ( )
选项 A、鼻咽癌 B、鼻咽部淋巴瘤 C、鼻咽腔脓肿 D、鼻咽部青年纤维血管瘤 E、鼻息肉
答案 D
解析

猜你喜欢

发表评论
更多 网友评论0 条评论)
暂无评论

访问排行

Copyright © 2012-2014 恰考网 Inc. 保留所有权利。 Powered by tikuer.com

页面耗时0.0408秒, 内存占用1.03 MB, Cache:redis,访问数据库20次