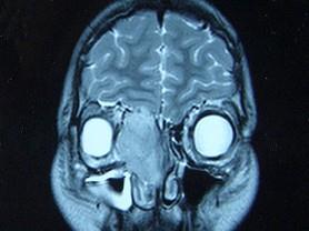
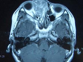
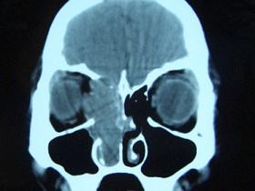
女,16岁,鼻塞、流涕一年余,失去嗅觉,影像检查如图所示,最可能的诊断是 ( )A、小唾液腺癌B、嗅神经母细胞瘤C、筛窦癌D、...

作者: rantiku 人气: - 评论: 0
问题 女,16岁,鼻塞、流涕一年余,失去嗅觉,影像检查如图所示,最可能的诊断是 ( )
选项 A、小唾液腺癌 B、嗅神经母细胞瘤 C、筛窦癌 D、恶性淋巴瘤 E、鼻腔乳头状瘤
答案 B
解析

猜你喜欢

发表评论
更多 网友评论0 条评论)
暂无评论

访问排行

Copyright © 2012-2014 恰考网 Inc. 保留所有权利。 Powered by tikuer.com

页面耗时0.0274秒, 内存占用1.03 MB, Cache:redis,访问数据库20次