女,17岁,发现左侧颈部包块半年余,PE:病灶质软,境界不清,无压痛,CT如图所示,应诊断为 ( )A、颈部淋巴管瘤B、颈部陈旧性血肿...

作者: rantiku 人气: - 评论: 0
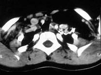
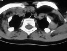
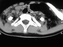
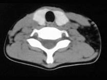
问题 女,17岁,发现左侧颈部包块半年余,PE:病灶质软,境界不清,无压痛,CT如图所示,应诊断为 ( )
选项 A、颈部淋巴管瘤 B、颈部陈旧性血肿 C、颈部畸胎瘤 D、颈部错构瘤 E、颈部脂肪瘤
答案 E
解析

猜你喜欢

发表评论
更多 网友评论0 条评论)
暂无评论

访问排行

Copyright © 2012-2014 恰考网 Inc. 保留所有权利。 Powered by tikuer.com

页面耗时0.0734秒, 内存占用1.03 MB, Cache:redis,访问数据库19次