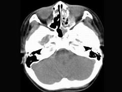
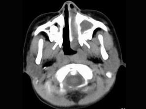
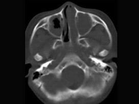
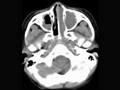
男,7岁,无意发现鼻腔肿物,无明显症状,CT如图所示,最可能诊断为 ( )A、鼻乳头状瘤B、鼻炎及副鼻窦粘膜下囊肿C、鼻炎D、...

作者: rantiku 人气: - 评论: 0
问题 男,7岁,无意发现鼻腔肿物,无明显症状,CT如图所示,最可能诊断为 ( )
选项 A、鼻乳头状瘤 B、鼻炎及副鼻窦粘膜下囊肿 C、鼻炎 D、鼻炎鼻息肉 E、鼻淋巴瘤
答案 D
解析

猜你喜欢

发表评论
更多 网友评论0 条评论)
暂无评论

访问排行

Copyright © 2012-2014 恰考网 Inc. 保留所有权利。 Powered by tikuer.com

页面耗时0.0360秒, 内存占用1.03 MB, Cache:redis,访问数据库20次