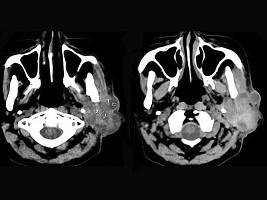
女,55岁,鼻咽癌放疗15年,近一周左耳根部肿胀,无发热,PE:左耳根部皮下扪及三个结节,有波动感和轻压痛,CT如图所示,最可能的诊断是 ( )A...

作者: rantiku 人气: - 评论: 0
问题 女,55岁,鼻咽癌放疗15年,近一周左耳根部肿胀,无发热,PE:左耳根部皮下扪及三个结节,有波动感和轻压痛,CT如图所示,最可能的诊断是 ( )
选项 A、左腮腺恶性混合瘤 B、左腮腺蜂窝织炎 C、左腮腺混合瘤 D、左腮腺腺淋巴瘤 E、左腮腺腺瘤
答案 B
解析

猜你喜欢

发表评论
更多 网友评论0 条评论)
暂无评论

访问排行

Copyright © 2012-2014 恰考网 Inc. 保留所有权利。 Powered by tikuer.com

页面耗时0.0315秒, 内存占用1.03 MB, Cache:redis,访问数据库18次