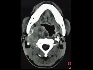
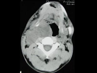
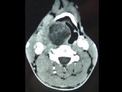
男,41岁,右侧咽部不适两年余,有异物感,声音嘶哑,CT如图所示,最可能诊断为 ( )A、小唾液腺瘤B、咽旁神经鞘膜瘤C、咽旁转移...

作者: rantiku 人气: - 评论: 0
问题 男,41岁,右侧咽部不适两年余,有异物感,声音嘶哑,CT如图所示,最可能诊断为 ( )
选项 A、小唾液腺瘤 B、咽旁神经鞘膜瘤 C、咽旁转移癌 D、咽旁淋巴瘤 E、颈动脉体瘤
答案 B
解析

猜你喜欢

发表评论
更多 网友评论0 条评论)
暂无评论

访问排行

Copyright © 2012-2014 恰考网 Inc. 保留所有权利。 Powered by tikuer.com

页面耗时0.0247秒, 内存占用1.03 MB, Cache:redis,访问数据库17次