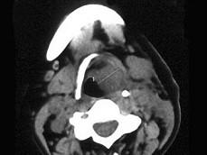
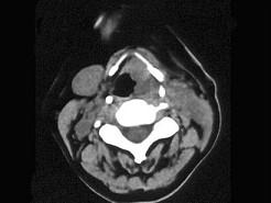
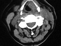
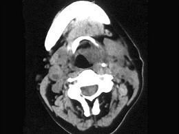
女,54岁,鼻咽部异物感约3个月,PE:左侧声带固定,可见肿物,CT如图所示,应诊断为 ( )A、慢性增生性喉炎B、增生型喉结核C...

作者: rantiku 人气: - 评论: 0
问题 女,54岁,鼻咽部异物感约3个月,PE:左侧声带固定,可见肿物,CT如图所示,应诊断为 ( )
选项 A、慢性增生性喉炎 B、增生型喉结核 C、喉癌 D、喉部血管瘤 E、喉部乳头状瘤
答案 C
解析

猜你喜欢

发表评论
更多 网友评论0 条评论)
暂无评论

访问排行

Copyright © 2012-2014 恰考网 Inc. 保留所有权利。 Powered by tikuer.com

页面耗时0.0420秒, 内存占用1.03 MB, Cache:redis,访问数据库20次