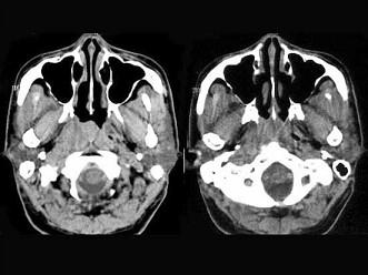
男,52岁,右耳鸣两月余,伴鼻塞,CT如图所示,应诊断为 ( )A、鼻咽癌B、鼻咽部慢性炎症C、鼻咽纤维血管瘤D、增殖体肥大E、鼻...

作者: rantiku 人气: - 评论: 0
问题 男,52岁,右耳鸣两月余,伴鼻塞,CT如图所示,应诊断为 ( )
选项 A、鼻咽癌 B、鼻咽部慢性炎症 C、鼻咽纤维血管瘤 D、增殖体肥大 E、鼻咽淋巴瘤
答案 A
解析

猜你喜欢

发表评论
更多 网友评论0 条评论)
暂无评论

访问排行

Copyright © 2012-2014 恰考网 Inc. 保留所有权利。 Powered by tikuer.com

页面耗时0.0390秒, 内存占用1.03 MB, Cache:redis,访问数据库19次