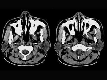
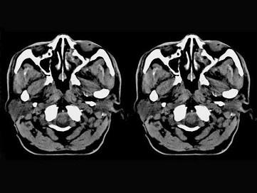
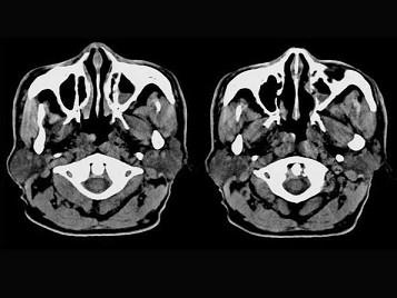
男,61岁,流鼻血三天。如图所示最可能的诊断为 ( )A、小唾液腺瘤B、鼻咽部息肉C、鼻咽腺样体增生D、鼻咽纤维血管瘤E、鼻咽...

作者: rantiku 人气: - 评论: 0
问题 男,61岁,流鼻血三天。如图所示最可能的诊断为 ( )
选项 A、小唾液腺瘤 B、鼻咽部息肉 C、鼻咽腺样体增生 D、鼻咽纤维血管瘤 E、鼻咽淋巴滤泡增生
答案 E
解析

猜你喜欢

发表评论
更多 网友评论0 条评论)
暂无评论

访问排行

Copyright © 2012-2014 恰考网 Inc. 保留所有权利。 Powered by tikuer.com

页面耗时0.0421秒, 内存占用1.03 MB, Cache:redis,访问数据库20次