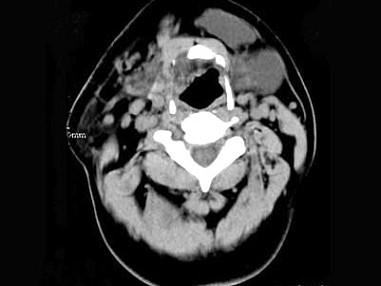
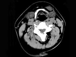
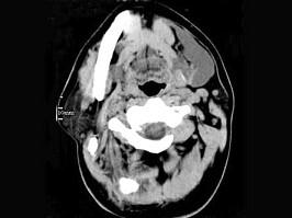
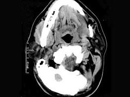
男,32岁,左侧下颌部肿块,CT如图所示,最可能的诊断是 ( )A、颈部淋巴管瘤B、舌下腺囊肿C、颌骨囊肿D、鳃裂囊肿E、...

作者: rantiku 人气: - 评论: 0
问题 男,32岁,左侧下颌部肿块,CT如图所示,最可能的诊断是 ( )
选项 A、颈部淋巴管瘤 B、舌下腺囊肿 C、颌骨囊肿 D、鳃裂囊肿 E、造釉细胞瘤
答案 B
解析

猜你喜欢

发表评论
更多 网友评论0 条评论)
暂无评论

访问排行

Copyright © 2012-2014 恰考网 Inc. 保留所有权利。 Powered by tikuer.com

页面耗时0.0386秒, 内存占用1.03 MB, Cache:redis,访问数据库19次