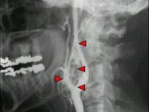
50岁女性,颈部无痛性肿块,逐渐增大,听诊可闻及杂音,DSA检查如图所示,请选择最可能诊断 ( )A、颈动脉硬化B、动静脉瘘C、假...

作者: rantiku 人气: - 评论: 0
问题 50岁女性,颈部无痛性肿块,逐渐增大,听诊可闻及杂音,DSA检查如图所示,请选择最可能诊断 ( )
选项 A、颈动脉硬化 B、动静脉瘘 C、假性动脉瘤 D、颈动脉夹层 E、颈动脉体瘤
答案 E
解析

猜你喜欢

发表评论
更多 网友评论0 条评论)
暂无评论

访问排行

Copyright © 2012-2014 恰考网 Inc. 保留所有权利。 Powered by tikuer.com

页面耗时0.0389秒, 内存占用1.03 MB, Cache:redis,访问数据库20次