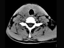
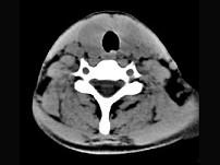
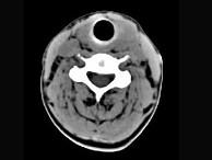
40岁,女性患者,双侧甲状腺肿大,CT扫描如图所示,请选择最佳答案 ( )A、亚急性甲状腺炎B、甲状腺瘤C、甲状腺癌D、甲状腺炎(...

作者: rantiku 人气: - 评论: 0
问题 40岁,女性患者,双侧甲状腺肿大,CT扫描如图所示,请选择最佳答案 ( )
选项 A、亚急性甲状腺炎 B、甲状腺瘤 C、甲状腺癌 D、甲状腺炎(桥本) E、弥漫性甲状腺肿
答案 D
解析

猜你喜欢

发表评论
更多 网友评论0 条评论)
暂无评论

访问排行

Copyright © 2012-2014 恰考网 Inc. 保留所有权利。 Powered by tikuer.com

页面耗时0.0512秒, 内存占用1.03 MB, Cache:redis,访问数据库20次