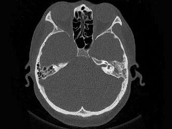
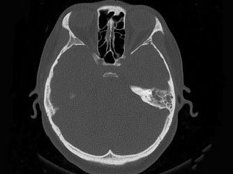
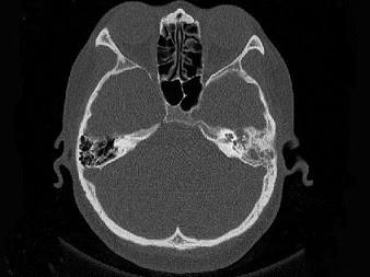
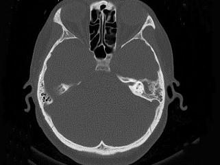
女,34岁,左耳鸣,听力下降两个月,PE:左外耳道有脓性分泌物,鼓膜充血水肿,左中耳腔内软组织影,CT检查如图,最可能诊断为 ( )A、肉...

作者: rantiku 人气: - 评论: 0
问题 女,34岁,左耳鸣,听力下降两个月,PE:左外耳道有脓性分泌物,鼓膜充血水肿,左中耳腔内软组织影,CT检查如图,最可能诊断为 ( )
选项 A、肉芽肿形成 B、中耳结核 C、中耳癌 D、胆脂瘤 E、乳突癌
答案 A
解析

猜你喜欢

发表评论
更多 网友评论0 条评论)
暂无评论

访问排行

Copyright © 2012-2014 恰考网 Inc. 保留所有权利。 Powered by tikuer.com

页面耗时0.0354秒, 内存占用1.03 MB, Cache:redis,访问数据库17次