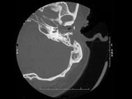
患者,李某,20岁,自幼右耳听力较差,其乳突CT摄片如图所示,可考虑为 ( )A、先天性胆脂瘤并侵犯耳蜗B、以上都不是C、听神经瘤D、急性...

作者: rantiku 人气: - 评论: 0
问题 患者,李某,20岁,自幼右耳听力较差,其乳突CT摄片如图所示,可考虑为 ( )
选项 A、先天性胆脂瘤并侵犯耳蜗 B、以上都不是 C、听神经瘤 D、急性中耳炎 E、先天性外耳道狭窄
答案 A
解析

猜你喜欢

发表评论
更多 网友评论0 条评论)
暂无评论

访问排行

Copyright © 2012-2014 恰考网 Inc. 保留所有权利。 Powered by tikuer.com

页面耗时0.0404秒, 内存占用1.03 MB, Cache:redis,访问数据库19次