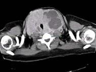
青年女性,咽异物感1年,环状软骨左下方触及一直径2厘米的光滑结节,随吞咽上下活动,生长缓慢,颈部CT检查见下图,患者诊断最可能为 ( )A、甲状舌...

作者: rantiku 人气: - 评论: 0
问题 青年女性,咽异物感1年,环状软骨左下方触及一直径2厘米的光滑结节,随吞咽上下活动,生长缓慢,颈部CT检查见下图,患者诊断最可能为 ( )
选项 A、甲状舌骨囊肿 B、颈淋巴结核 C、淋巴结转移癌 D、甲状腺腺廇 E、颈部淋巴瘤
答案 D
解析

猜你喜欢

发表评论
更多 网友评论0 条评论)
暂无评论

访问排行

Copyright © 2012-2014 恰考网 Inc. 保留所有权利。 Powered by tikuer.com

页面耗时0.0317秒, 内存占用1.03 MB, Cache:redis,访问数据库18次