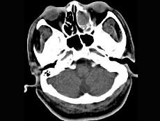
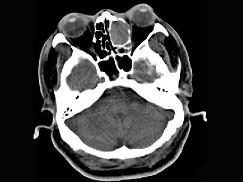
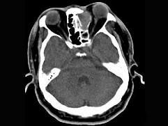
男,34岁,头痛、头晕3个月余,CT检查如图,最可能诊断为 ( )A、筛窦乳头状瘤B、筛窦黏液囊肿C、筛窦炎D、筛窦息肉E、筛窦癌

作者: rantiku 人气: - 评论: 0
问题 男,34岁,头痛、头晕3个月余,CT检查如图,最可能诊断为 ( )
选项 A、筛窦乳头状瘤 B、筛窦黏液囊肿 C、筛窦炎 D、筛窦息肉 E、筛窦癌
答案 B
解析

猜你喜欢

发表评论
更多 网友评论0 条评论)
暂无评论

访问排行

Copyright © 2012-2014 恰考网 Inc. 保留所有权利。 Powered by tikuer.com

页面耗时0.0492秒, 内存占用1.03 MB, Cache:redis,访问数据库20次