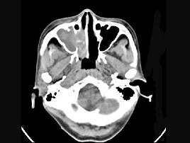
女性,53岁,右侧鼻腔流血近一年,近来头痛,行CT检查如图所示,请选择正确的答案 ( )A、鼻腔炎性假瘤B、鼻腔内血管瘤C、鼻腔内...

作者: rantiku 人气: - 评论: 0
问题 女性,53岁,右侧鼻腔流血近一年,近来头痛,行CT检查如图所示,请选择正确的答案 ( )
选项 A、鼻腔炎性假瘤 B、鼻腔内血管瘤 C、鼻腔内息肉 D、副鼻窦炎 E、鼻腔癌
答案 E
解析

猜你喜欢

发表评论
更多 网友评论0 条评论)
暂无评论

访问排行

Copyright © 2012-2014 恰考网 Inc. 保留所有权利。 Powered by tikuer.com

页面耗时0.0332秒, 内存占用1.03 MB, Cache:redis,访问数据库19次