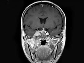
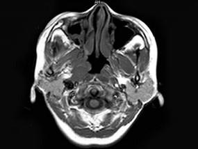
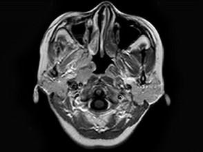
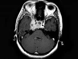
女,34岁。右侧听力下降,耳鸣2个月。MRI平扫及增强扫描如图示,最可能的诊断是 ( )A、动脉瘤B、未见异常C、脑膜瘤D、神...

作者: rantiku 人气: - 评论: 0
问题 女,34岁。右侧听力下降,耳鸣2个月。MRI平扫及增强扫描如图示,最可能的诊断是 ( )
选项 A、动脉瘤 B、未见异常 C、脑膜瘤 D、神经源性肿瘤 E、鼻咽癌
答案 E
解析

猜你喜欢

发表评论
更多 网友评论0 条评论)
暂无评论

访问排行

Copyright © 2012-2014 恰考网 Inc. 保留所有权利。 Powered by tikuer.com

页面耗时0.0615秒, 内存占用1.03 MB, Cache:redis,访问数据库19次