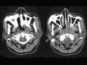
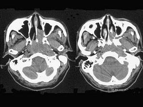
男,64岁,间断性流鼻血一年余,近1个月加重,CT如图所示,最可能的诊断为 ( )A、鼻咽部淋巴组织增生B、鼻咽癌C、鼻咽纤维血管瘤D...

作者: rantiku 人气: - 评论: 0
问题 男,64岁,间断性流鼻血一年余,近1个月加重,CT如图所示,最可能的诊断为 ( )
选项 A、鼻咽部淋巴组织增生 B、鼻咽癌 C、鼻咽纤维血管瘤 D、鼻咽部恶性淋巴瘤 E、鼻咽部腺样体增生
答案 B
解析

猜你喜欢

发表评论
更多 网友评论0 条评论)
暂无评论

访问排行

Copyright © 2012-2014 恰考网 Inc. 保留所有权利。 Powered by tikuer.com

页面耗时0.0397秒, 内存占用1.03 MB, Cache:redis,访问数据库20次