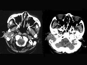
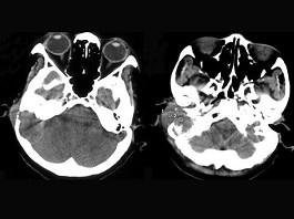
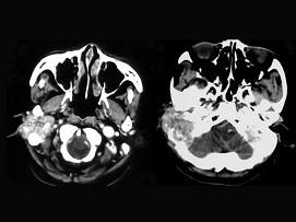
女,56岁,右侧中耳术后发现右外耳道新生物一年,PE:右外耳道内段被新生物充满,CT如图所示,应诊断为 ( )A、听神经瘤B、中耳结核...
相关内容:中耳,外耳,道新,生物,道内段,新生物,如图,诊断,听神经,结核
猜你喜欢
- 某女,67岁。大便秘结,二三日一行,量少,排出不畅,面色无华,头晕目眩,心悸口干,舌淡,苔少,脉细涩。
宜选用的中成药是A.清宁丸
B.当归芦荟丸
...
- 下列各项中,不应计入营业外支出的是( )。A.在建工程建设期间发生的非自然灾害原因导致的工程物资盘亏净损失B.发生的债务重组损失C.向慈善机构支付...
- 一犬表现为频频努责,仅排出少量黏液,呈顽固性便秘。本病最有可能是(?)。A.膀胱破裂B.犬肛门囊炎C.犬前列腺增生D.犬前列腺炎E.隐睾
- 二十六、案例摘要:患者,男性,55岁。1小时前因右侧腰背部剧烈疼痛,难以忍受,出冷汗,服颠茄片不见好转,急来院门诊。尿常规检查:可见红细胞。B型超声波检查...
- 男性,50岁,既往身体健康,近4个月出现2次肉眼血尿,经CT检查发现右肾实质及右肾静脉有实性占位性病变,门诊以"右肾癌及右肾静脉栓塞"收入院。该患...
- 饱和水带中的地下水运动,无论是潜水还是承压水,均表现为()在岩土层的空隙中运动。A.气态水 B.重力水 C....
- 老师在专心致志地讲课时,发现有学生开小差。老师应采取的措施是( )。A 、 立即停止,让学生站着听课 B 、 大发雷霆,要求学生公开检讨 C 、...
- 根据合同法律制度的规定,下列关于缔约过失责任与违约责任的表述中,不正确的是()。A.缔约过失责任发生在合同成立之前
B.缔约过失责任赔偿的是信赖利益的损...
- 《中华人民共和国环境噪声污染防治法》规定:各级公安、交通、铁路、民航等主管部门和港务监督机构,根据各自的职责,对交通运输和社会生活噪声污染防治实施( )...
- 发病前常有上呼吸道感染史的疾病为A.甲状腺腺瘤 B.亚急性甲状腺炎 C.桥本甲状腺肿 D.原发性甲亢