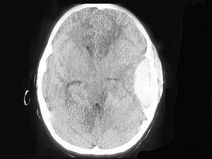
一慢性化脓性中耳炎患者,突发患侧头部剧痛,体温37.5℃,其头颅CT摄片如图,考虑为 ( )A、硬脑膜外脓肿B、以上都不是C、脑脓肿D、硬...

作者: rantiku 人气: - 评论: 0
问题 一慢性化脓性中耳炎患者,突发患侧头部剧痛,体温37.5℃,其头颅CT摄片如图,考虑为 ( )
选项 A、硬脑膜外脓肿 B、以上都不是 C、脑脓肿 D、硬脑膜下脓肿 E、化脓性脑膜炎
答案 A
解析

猜你喜欢

发表评论
更多 网友评论0 条评论)
暂无评论

访问排行

Copyright © 2012-2014 恰考网 Inc. 保留所有权利。 Powered by tikuer.com

页面耗时0.0421秒, 内存占用1.03 MB, Cache:redis,访问数据库20次