男性38岁,左侧腮腺渐进性肿大一年,无压痛,CT扫描如图所示,请选择正确的描述和结论 ( )A、考虑为脂肪瘤B、考虑为血管瘤C、肿...

作者: rantiku 人气: - 评论: 0
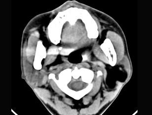
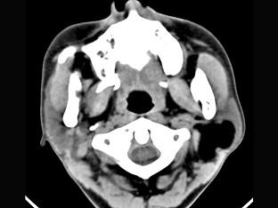
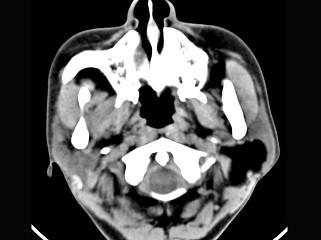
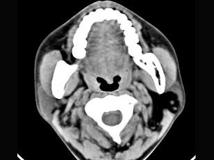
问题 男性38岁,左侧腮腺渐进性肿大一年,无压痛,CT扫描如图所示,请选择正确的描述和结论 ( )
选项 A、考虑为脂肪瘤 B、考虑为血管瘤 C、肿块边缘清楚,未见邻近结构受侵 D、考虑为囊肿 E、左侧腮腺区见低密度肿块,CT值约为-200Hu
答案 ACE
解析

猜你喜欢

发表评论
更多 网友评论0 条评论)
暂无评论

访问排行

Copyright © 2012-2014 恰考网 Inc. 保留所有权利。 Powered by tikuer.com

页面耗时0.0380秒, 内存占用1.03 MB, Cache:redis,访问数据库20次