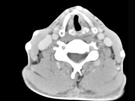
男性,50岁,自觉咽喉部不适1个多月,间或刺激性咳嗽,CT扫描如图所示,请选择正确的描述和答案 ( )A、考虑为左侧声带乳头状瘤B、考虑为喉癌...

作者: rantiku 人气: - 评论: 0
问题 男性,50岁,自觉咽喉部不适1个多月,间或刺激性咳嗽,CT扫描如图所示,请选择正确的描述和答案 ( )
选项 A、考虑为左侧声带乳头状瘤 B、考虑为喉癌 C、增强扫描结节强化不明显,密度均匀,周围结构未见受侵 D、考虑为左侧声带息肉 E、左侧声带内侧壁见结节状影向腔内突出,以宽基底与声带相连
答案 ACE
解析

猜你喜欢

发表评论
更多 网友评论0 条评论)
暂无评论

访问排行

Copyright © 2012-2014 恰考网 Inc. 保留所有权利。 Powered by tikuer.com

页面耗时0.0401秒, 内存占用1.03 MB, Cache:redis,访问数据库19次