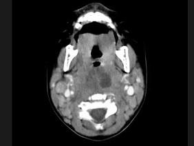
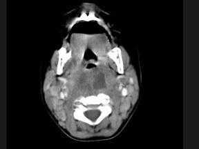
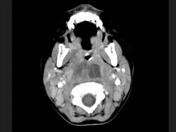
10个月大的婴儿,发热,曾患中耳炎,CT扫描如图所示,请选择正确的描述或诊断 ( )A、考虑为咽后壁脓肿B、考虑为咽后壁寒性脓肿C、其...

作者: rantiku 人气: - 评论: 0
问题 10个月大的婴儿,发热,曾患中耳炎,CT扫描如图所示,请选择正确的描述或诊断 ( )
选项 A、考虑为咽后壁脓肿 B、考虑为咽后壁寒性脓肿 C、其内密度不均 D、颈椎骨质未见明显异常 E、咽后壁软组织肿胀
答案 ACDE
解析

猜你喜欢

发表评论
更多 网友评论0 条评论)
暂无评论

访问排行

Copyright © 2012-2014 恰考网 Inc. 保留所有权利。 Powered by tikuer.com

页面耗时0.0297秒, 内存占用1.03 MB, Cache:redis,访问数据库17次