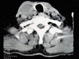
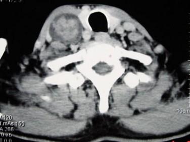
男性,70岁,右侧颈部无痛性肿块3个月,CT扫描如图所示,请选择正确的描述和答案 ( )A、考虑迷走神经源性肿瘤B、考虑交感神经源性肿瘤 ...

作者: rantiku 人气: - 评论: 0
问题 男性,70岁,右侧颈部无痛性肿块3个月,CT扫描如图所示,请选择正确的描述和答案 ( )
选项 A、考虑迷走神经源性肿瘤 B、考虑交感神经源性肿瘤 C、右侧颈静脉被推压至肿块外后方 D、右侧颈动脉被推压至肿块内后方 E、右颈动脉间隙内见类圆形软组织肿块影,密度欠均匀,边缘光整
答案 ACDE
解析

猜你喜欢

发表评论
更多 网友评论0 条评论)
暂无评论

访问排行

Copyright © 2012-2014 恰考网 Inc. 保留所有权利。 Powered by tikuer.com

页面耗时0.0386秒, 内存占用1.03 MB, Cache:redis,访问数据库14次