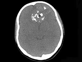
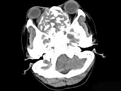
男性,28岁,因鼻塞、头痛1年余,鼻窦CT扫描如图所示,请选择正确的描述与结论 ( )A、考虑鼻窦骨瘤B、考虑为鼻窦软骨瘤C、肿块...

作者: rantiku 人气: - 评论: 0
问题 男性,28岁,因鼻塞、头痛1年余,鼻窦CT扫描如图所示,请选择正确的描述与结论 ( )
选项 A、考虑鼻窦骨瘤 B、考虑为鼻窦软骨瘤 C、肿块内密度不均,有较多致密钙化影 D、窦壁及颅底骨质破坏 E、双侧上颌窦、筛窦、鼻腔及蝶窦内见软组织肿块影
答案 BCDE
解析

猜你喜欢

发表评论
更多 网友评论0 条评论)
暂无评论

访问排行

Copyright © 2012-2014 恰考网 Inc. 保留所有权利。 Powered by tikuer.com

页面耗时0.0330秒, 内存占用1.03 MB, Cache:redis,访问数据库19次