男性,50岁,声音嘶哑近一年,近来感呼吸困难,CT扫描如图所示,请选择正确的描述和结论 ( )A、考虑为喉气管淀粉样变性B、考虑气管结...

作者: rantiku 人气: - 评论: 0
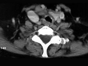
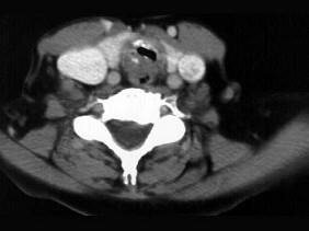
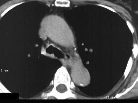
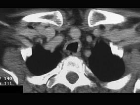
问题 男性,50岁,声音嘶哑近一年,近来感呼吸困难,CT扫描如图所示,请选择正确的描述和结论 ( )
选项 A、考虑为喉气管淀粉样变性 B、考虑气管结核 C、气管后方见软组织肿块 D、肿块内可见致密钙化影 E、喉、气管壁增厚
答案 ACDE
解析

猜你喜欢

发表评论
更多 网友评论0 条评论)
暂无评论

访问排行

Copyright © 2012-2014 恰考网 Inc. 保留所有权利。 Powered by tikuer.com

页面耗时0.0327秒, 内存占用1.03 MB, Cache:redis,访问数据库19次