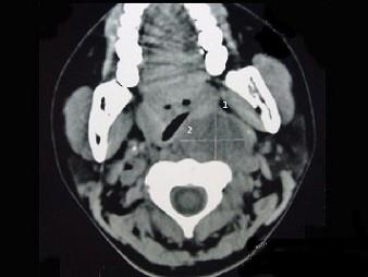
女性,34岁,自诉1个月前被咽喉部被鱼刺刺伤,近半个月发热,咽喉部疼痛,CT检查如图所示,请选择正确的描述和结论 ( )A、考虑神经源性肿瘤 ...

作者: rantiku 人气: - 评论: 0
问题 女性,34岁,自诉1个月前被咽喉部被鱼刺刺伤,近半个月发热,咽喉部疼痛,CT检查如图所示,请选择正确的描述和结论 ( )
选项 A、考虑神经源性肿瘤 B、考虑血管瘤 C、肿块内密度均匀 D、考虑咽后壁脓肿 E、左侧咽后壁可见低密度肿块影
答案 CDE
解析

猜你喜欢

发表评论
更多 网友评论0 条评论)
暂无评论

访问排行

Copyright © 2012-2014 恰考网 Inc. 保留所有权利。 Powered by tikuer.com

页面耗时0.0384秒, 内存占用1.03 MB, Cache:redis,访问数据库20次