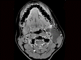
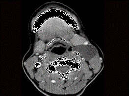
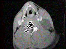
十产岁患者,女性,因颈前正中包块3年入院,查体:颈前胸锁乳突肌前缘上1/3外可触及一圆形包块,囊性,无压痛,不随吞咽上下活动。CT检查结果见下图,本患...

作者: rantiku 人气: - 评论: 0
问题 十产岁患者,女性,因颈前正中包块3年入院,查体:颈前胸锁乳突肌前缘上1/3外可触及一圆形包块,囊性,无压痛,不随吞咽上下活动。 CT检查结果见下图,本患者应考虑为 ( )
选项 A、鳃裂瘘管 B、颈血管瘤 C、甲舌瘘管 D、鳃裂囊肿 E、甲舌囊肿
答案 D
解析 D

猜你喜欢

发表评论
更多 网友评论0 条评论)
暂无评论

访问排行

Copyright © 2012-2014 恰考网 Inc. 保留所有权利。 Powered by tikuer.com

页面耗时0.0439秒, 内存占用1.03 MB, Cache:redis,访问数据库20次