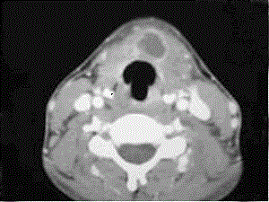
八岁患者,男性,因颈前正中包块6年入院,查体:颈前正中舌骨下方可触及一圆形包块,囊性,无压痛,随吞咽上下活动。患者肿块图像及影像学检查结果见下图,本患...

作者: rantiku 人气: - 评论: 0
问题 八岁患者,男性,因颈前正中包块6年入院,查体:颈前正中舌骨下方可触及一圆形包块,囊性,无压痛,随吞咽上下活动。 患者肿块图像及影像学检查结果见下图,本患者应考虑为 ( )
选项 A、鳃裂瘘管 B、甲舌瘘管 C、鳃裂囊肿 D、甲舌囊肿
答案 D
解析 D

猜你喜欢

发表评论
更多 网友评论0 条评论)
暂无评论

访问排行

Copyright © 2012-2014 恰考网 Inc. 保留所有权利。 Powered by tikuer.com

页面耗时0.0372秒, 内存占用1.03 MB, Cache:redis,访问数据库19次