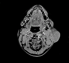
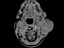
女,25岁、发现双侧颈部肿块近10年,CT如图,最可能的诊断为 ( ) A、淋巴结结核B、淋巴结炎C、淋巴瘤D、转移癌 ...

作者: rantiku 人气: - 评论: 0
问题 女,25岁、发现双侧颈部肿块近10年,CT如图,最可能的诊断为 ( )
选项 A、淋巴结结核 B、淋巴结炎 C、淋巴瘤 D、转移癌 E、巨淋巴结增生症
答案 E
解析

猜你喜欢

发表评论
更多 网友评论0 条评论)
暂无评论

访问排行

Copyright © 2012-2014 恰考网 Inc. 保留所有权利。 Powered by tikuer.com

页面耗时0.0291秒, 内存占用1.03 MB, Cache:redis,访问数据库19次