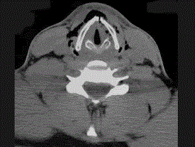
27岁男性,开车外出在高速行驶时翻车,呼吸困难,喉部肿胀,CT检查如图所示,请选择正确的描述或诊断 ( ) A、左侧杓状软骨骨折...

作者: rantiku 人气: - 评论: 0
问题 27岁男性,开车外出在高速行驶时翻车,呼吸困难,喉部肿胀,CT检查如图所示,请选择正确的描述或诊断 ( )
选项 A、左侧杓状软骨骨折 B、考虑喉、气管破裂 C、左侧梨状窝软组织肿胀 D、颈部、胸骨下方软组织积气 E、左侧甲状软骨骨折
答案 BCDE
解析

猜你喜欢

发表评论
更多 网友评论0 条评论)
暂无评论

访问排行

Copyright © 2012-2014 恰考网 Inc. 保留所有权利。 Powered by tikuer.com

页面耗时0.0521秒, 内存占用1.03 MB, Cache:redis,访问数据库14次