患者,女性,32岁,因发现颈部肿块一个月入院,入院查体:甲状腺2度肿大,右侧甲状腺可触及一圆形,质中直径约3.5厘米的肿块,无压痛,随吞咽上下活动,颈部没...

作者: rantiku 人气: - 评论: 0
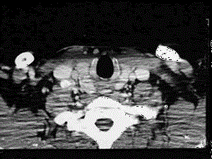
问题 患者,女性,32岁,因发现颈部肿块一个月入院,入院查体:甲状腺2度肿大,右侧甲状腺可触及一圆形,质中直径约3.5厘米的肿块,无压痛,随吞咽上下活动,颈部没有触及肿大淋巴结,甲状腺吸碘试验提示冷结节。 颈部CT检查结果如下图,对于本患者的诊断,我们要首先考虑 ( )
选项 A、甲状腺癌 B、淋巴结 C、甲舌囊肿 D、高功能甲状腺瘤 E、结节性甲状腺肿
答案 A
解析 A

猜你喜欢

发表评论
更多 网友评论0 条评论)
暂无评论

访问排行

Copyright © 2012-2014 恰考网 Inc. 保留所有权利。 Powered by tikuer.com

页面耗时0.0373秒, 内存占用1.03 MB, Cache:redis,访问数据库19次